无需开颅手术,仅凭借一根细如发丝的激光光纤,就能精准热凝大脑最深处的病灶。11月15日,哈医大二院神经外科孙家行教授团队与磁共振诊断科主任付旷教授团队、麻醉科主任张兵教授团队、手术室团队密切协作,成功为一名右侧下丘脑海绵状血管瘤患者实施激光间质热疗(LITT)手术,标志着哈医大二院在脑深部病变的微创精准治疗领域向国内先进水平迈进。
患者王女士(化姓),今年51岁,因间断性头部胀痛前来就诊。经头部磁共振(MRI)检查,发现其右侧下丘脑、脑干区混杂信号,考虑海绵状血管瘤伴出血。孙家行教授介绍,下丘脑是大脑中的“核心中枢”,负责调节意识、内分泌、体温及感觉传导,周围密布着重要的神经纤维和核团。此处的病变传统开颅手术路径极长,损伤风险巨大,犹如“雷区排爆”,稍有不慎就可能导致患者昏迷、内分泌紊乱、感觉丧失、运动障碍等严重并发症,因此一直是神经外科领域难度最高的手术之一。

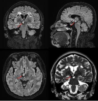
术前磁共振影像
面对这一挑战,孙家行教授团队经过深入评估,认为激光间质热疗(LITT)技术是当前最优解决方案。与创伤大、恢复慢的传统开颅手术相比,LITT以其极致的微创和精准优势,为王女士带来了新希望。
手术分为两部分进行。首先,手术室内,孙家行教授凭借丰富的功能神经外科经验,应用神经外科手术机器人,通过微创骨孔,将激光光纤精准植入下丘脑的病灶中心。随后,将患者转运至核磁共振室,孙家行教授对病灶进行精准热凝消融。在此过程中,付旷教授团队进行MRI扫描,实时监测病灶及周围组织的温度变化,确保消融范围毫厘不差,保护正常脑组织不受破坏;麻醉科主任张兵教授团队从麻醉诱导到术中维持,始终确保患者处于理想的镇静状态,并全程监护生命体征,为手术的顺利实施提供了核心保障。此次手术集合了神经外科、影像科、麻醉科及手术室等多学科,完全依靠本院技术团队独立完成。

手术室内,孙家行教授正在精准植入激光光纤

磁共振室内,MDT团队在实时MRI监测下对病灶进行激光消融
术后即刻MRI扫描证实,患者下丘脑海绵状血管瘤消融效果良好,达到了预期手术目标。患者麻醉苏醒后意识清楚,言语流利,四肢活动良好,未出现任何神经功能损伤,术后第三天患者康复出院。

出院时患者与孙家行教授的合照
孙家行教授介绍,激光间质热疗(LITT)是一种先进的微创神经外科技术。它通过一根细小的激光光纤,在磁共振的实时引导和温度监测下,对脑内病灶进行精准的热凝消融。其适应症包括药物难治性癫痫、脑深部海绵状血管瘤、脑深部肿瘤等。这类疾病以往开刀手术常常面临并发症多、住院周期长、效果不理想的困境,甚至部分病变因位置过于凶险而无法手术。LITT技术的出现,彻底改变了这一局面,它通过微创方式实现了对深部病灶的精准打击,为无数以往被认为手术禁区或高风险的患者提供了安全、有效的治疗选择,LITT是神经外科领域一项革命性的进步。
目前哈医大二院已常规开展LITT技术治疗,达到国内先进水平。此例高难度手术的成功,不仅体现了哈医大二院多学科协作的强大实力,更让本地患者在家门口就能享受到与国内同步的先进微创治疗技术。此外,孙家行教授近期参与制定了国内LITT治疗颅内疾病的专家共识,彰显了医院在该领域的重要影响力。