脑出血, 一般应卧床休息2~4周,保持安静、避免情绪激动和血压升高。

如果并发脑水肿,可使颅内压增高,形成脑疝,是影响脑出血死亡率及功能恢复的主要因素。积极控制脑水肿、降低颅内压是脑出血急性期治疗的重要环节。
降血压不能过快,要加强监测,防止因血压下降过快,引起脑低灌注。脑出血恢复期应积极控制高血压,尽量将血压控制在正常范围内。
药物治疗的应用:止血药物,降血压,神经保护,降糖,中药制剂等。
严重脑出血危及患者生命时内科治疗通常无效,外科治疗则有可能挽救生命。

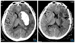
开颅血肿清除术术前术后对比
病情正在恶化的小脑出血患者、脑干受压,或脑脊液引流受阻的脑积水的小脑出血患者,应尽可能手术清除血肿。主要的手术方法包括去骨瓣减压术、或小骨窗开颅血肿清除术、钻孔血肿抽吸术和脑室穿刺引流术。

钻孔血肿抽吸术术前术后对比
积极有效的外科手术,可以大幅提高脑出血重症患者的治愈率。