脑膜瘤,颅内多见,分为良性肿瘤及恶性肿瘤。

良性脑膜瘤(WHOⅠ级)占所有脑瘤的65%~80%;
非典型脑膜瘤(WHOⅡ级)占所有脑膜瘤的20%~35%,复发率5年达40%,侵袭和复发性介于良性恶性脑膜瘤之间;
间变型或恶性脑膜瘤(WHOⅢ级)占所有脑膜瘤的3%以内,侵袭性和复发性高,5年复发率可达80%。
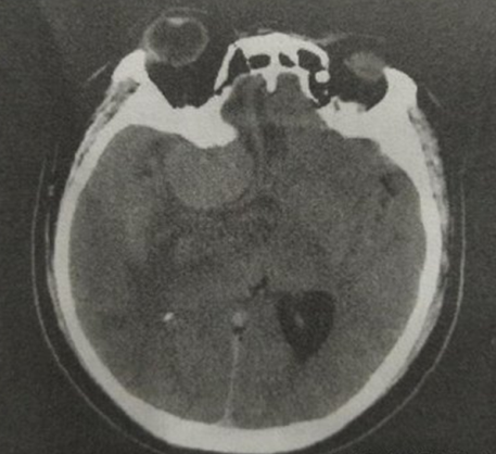
脑膜瘤因为原发位置不同,临床症状表现也不同。多有头痛,恶心,呕吐,抽搐等症状,严重可有肢体活动障碍。下图为ct,核磁影像


对于较大脑膜瘤,首选手术治疗,显微镜下微创手术治疗,疗效好,损伤小。