2022年8月21日,哈尔滨医科大学附属第二医院田海教授团队应用上海形状记忆自主研发的MemoClip经心尖二尖瓣夹系统,成功为一例58岁、合并多器官功能障碍的二尖瓣重度反流患者实施了经心尖二尖瓣夹合手术。目前国内关于该类型手术的临床开展经验尚少,对于该例二尖瓣反流患者,其反流位置位于后叶P3区且伴有断裂漂浮的腱索,使得术中夹合器置于合适位置、瓣叶捕获夹合等操作的难度大大增加。顺利完成手术后,所有医护人员都长舒一口气,成功手术的背后,是所有医护人员的共同努力,更是展示了哈医大二院田海教授团队在既往全腔镜心脏手术、经心尖主动脉瓣置换术等微创手术基础上,又一次应用新型器械挑战复杂病例、成功开展了经心尖的二尖瓣成形手术!

田海教授团队经左前胸小切口行经心尖二尖瓣夹手术

术后切口仅为4cm
二尖瓣病变是心脏瓣膜病领域最大的病患群体,而二尖瓣反流则是最常见的二尖瓣瓣膜病变,多因先天性异常或后天性病变导致二尖瓣在左心室收缩时无法完全闭合,进而使从左心房流入左心室的血液部分反流回左心房,引起一系列心脏病变和临床症状,严重时可致心力衰竭甚至死亡。目前,随着我国人口老龄化,二尖瓣关闭不全的发病率不断升高,高龄高危患者比例也在不断升高,很多高龄、心功能差、合并症多的高危二尖瓣关闭不全患者无法耐受常规的外科开放手术而失去治疗机会。鉴于此,微创介入技术成为二尖瓣反流治疗的热点方向,并日益发展成熟。其中,二尖瓣夹合技术是目前最新兴的治疗二尖瓣关闭不全的微创介入技术。但此项技术因其操作技术复杂,对心脏团队要求高,目前国内仅少数心脏中心可以开展。

经心尖二尖瓣夹系统

经心尖输送二尖瓣夹示意图
哈医大二院心血管外科田海教授团队坚持“以病人为中心”,为患者提供更优选的治疗方案。本次田海教授团队成功完成的东三省首例复杂二尖瓣关闭不全患者的经心尖二尖瓣夹合成形手术,既是考虑病人多器官功能障碍所致的常规手术高风险和家属强烈的微创意愿,进而选择应用经心尖二尖瓣夹系统在超声实时引导下将二尖瓣夹输送至二尖瓣位置,分别夹住二尖瓣前、后瓣的病变位置从而有效降低反流。

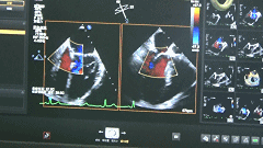
完全在超声引导下完成二尖瓣夹的定位、瓣叶抓取和二尖瓣夹的释放

三维超声确认夹合位置理想

彩色超声多普勒缺认反流明显减少、夹合效果良好
此方法完全在超声引导下完成,无需传统的体外循环、心脏停跳,更大程度的避免了手术创伤,创伤小、恢复快,由于其入路距离二尖瓣较近、操控性更加灵活,在处理1区、3区瓣叶关闭不全等复杂二尖瓣关闭不全时相对其它微创方法更有优势、治疗效果也更加确切。本例患者当日即脱离呼吸机并由重症监护室转回普通病房,此项技术的开展未来可为东北地区众多二尖瓣反流患者提供治疗新策略,带来新希望!