一、对比增强超声(Contrast-enhanced ultrasound,CEUS),又称超声造影:是使用超声增强剂(常用Sonovue,成分为微气泡)实时动态显示组织、病灶的微循环灌注情况,通过灌注模式对疾病进行诊断与鉴别诊断。增强剂用量小,通过肺呼吸排出体外,无明显肝、肾毒副作用,无需过敏试验。
适应症:腹腔实质性脏器(肝、脾、肾等)、腹膜后、妇科等部位肿块的定性诊断;输卵管的通畅性、宫腔形态的诊断;胃肠道肿瘤、炎性病变的诊断等;具有坏死组织的肿瘤靶向引导穿刺活检,提高穿刺的准确率。肿瘤介入治疗前后的评估;外伤性疾病如肝、脾、肾等实质脏器破裂的早期明确诊断。



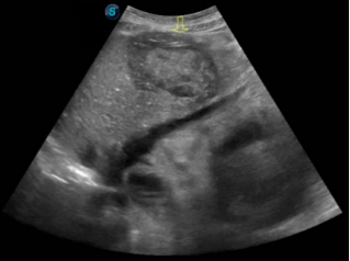
肝脏肿瘤,动脉期高增强,延迟期造影剂消退,造影考虑肝癌
二、超声引导下穿刺活检:在超声的实时监测下对病灶(肝脏、肾脏、肾上腺、肺、淋巴结等)取材,进行组织学或细胞学检查。用于明确诊断,指导临床治疗。


活检枪按照穿刺线直入穿刺目标,取出的标本组织
三、卵巢囊肿抽液硬化治疗
卵巢囊肿是女性生殖系统常见病,包括滤泡囊肿、黄体囊肿、黄素囊肿、卵巢冠囊肿及卵巢子宫内膜异位囊肿(巧克力囊肿)等。当囊肿较大时将导致邻近脏器受压,出现临床症状,部分囊肿可出现蒂扭转、破裂、出血、感染等。
以往卵巢囊肿治疗多采用全麻下手术方式,术后恢复较慢。随着介入超声的发展,超声实时引导下囊肿抽液硬化治疗已经成为临床上常用的治疗手段,囊肿治疗过程中通过穿刺针将囊液吸出,使囊腔缩小、通过反复冲洗并注入硬化剂使囊腔闭合,消除或显著改善囊肿引起的临床症状,并最大限度保留脏器功能。抽液硬化治疗于局部浸润麻醉下即可完成,具有精准、微创、便捷、价廉、并发症少、疗效显著、无瘢痕等优势,尤其对年龄较大、不能耐受手术的患者是一种最佳的治疗选择。

囊肿治疗前

囊肿治疗中

抽出的囊液

半年后复查囊肿消失
四、肝、肾囊肿及盆腔包裹性积液抽液硬化治疗
肝、肾囊肿及盆腔包裹性积液抽液硬化治疗过程同上述卵巢囊肿抽液硬化治疗适应症:大于5cm单个或多发肝囊肿出现症状者;外科嘱开放手术治疗的单个或多个囊肿,患者愿意接受穿刺硬化微创治疗;多囊肝出现腹部饱胀,腹部包块,且超声查有大于5cm以上的囊肿。
五、脓肿(肝、肾、腹腔、乳腺等)置管引流
脓肿是临床上常见的一种感染性疾病,近年来发病率呈上升趋势。以细菌性肝脓肿为例,其多见于男性、高龄者(大于50岁)尤其是全身情况差营养不良的高龄患者。肝脓肿的治疗方法包括内科药物治疗、介入治疗(经皮肝脓肿穿刺)、外科手术治疗。目前,采用超声引导下经皮肝脓肿穿刺引流已经成为治疗肝脓肿的首选方法。它具有简单微创、经济有效、并发症少、住院时间短等优点,尤其适用于年老体弱不能耐受手术者。适用于脓肿诊断已明确,脓腔较大且已液化,内科治疗效果不佳者可进行置管引流。


肝内低回声团,超声造影考虑为肝脓肿

穿刺抽出的脓液
六、经皮经肝胆管/胆囊穿刺(PTCD/PTGD):
PTCD是经皮肝穿刺胆道引流术,是在影像技术下经皮经肝在胆道内放置导管的一项技术手段。对很多胆道疾病来说,是首选的治疗方案,也可以是姑息性的治疗方法。胆道梗阻会引起胆道压力增高,造成皮肤巩膜黄染,还会造成肝细胞肿胀,导致肝细胞功能受损甚至多器官功能障碍。此时可通过胆汁引流降低胆道压力,改善肝功能,缓解患者痛苦,提高患者的生存质量。PTCD可使不少高危、高龄、无法耐受手术的患者渡过危险期,为择期手术创造了条件,从而大大降低择期手术的病死率,因其操作相对简单、损伤小、疗效值得肯定等优点,所以PTCD对急性化脓性胆管炎的治疗也值得推广。
PTCD适应症:胰腺癌或壶腹周围癌导致的梗阻性黄疽、手术已无法切除者;原发性胆系肿瘤,肿瘤己侵犯到胆管在肝门部的汇合处;肝门区转移性肿瘤,肿大淋巴结压迫胆总管;急性化脓性胆管炎,可在手术前行经皮肝穿刺胆管引流术;外科手术危险性大,如年老体弱、心肺功能差,或者手术部位解剖结构复杂、技术上有难度等,PTCD治疗可为手术做准备;胆石症和术后残留结石,可以行PTCD并为经皮T形管或内镜取石术等做准备;外科手术前做暂时引流减压以改善全身情况,为手术做准备。
PTGD适应症:急性胆囊炎因年老体弱或其他严重脏器功能异常不能耐受外科手术者;胆总管下段梗阻伴胆囊肿大,无法手术治疗或经胆道引流失败者;妊娠期急性胆囊炎可以先行PTGD缓解症状,待产后择期手术切除胆囊;急性胆囊炎、胆囊肿大有穿孔风险者。



扩张的肝内胆管,超声引导下穿刺置管引流
七、肝脏肿瘤射频消融治疗:
超声实时引导下将消融针刺入肿瘤,射频针头端产生热量,肿瘤受热后会出现变性、凝固坏死,从而达到灭活肿瘤的效果。
优点:射频消融治疗精准、疗效确切,对周围组织损伤小,安全性高,并发症少。可作为根治性手段用于肝脏肿瘤的治疗,与手术切除相比,5cm以下的肿瘤消融治疗可取得和手术切除相同的疗效,且损伤小、痛苦少、并发症和死亡率低。对肝功能要求低,可使部分不能手术切除的病人得到根治性治疗,拓宽了肝癌根治性治疗的适应证。对不能根治的肝癌进行姑息性减瘤治疗,减轻症状,延长生命。同时与TACE等其它治疗方法联合应用,增强疗效。
适应症:单发肿瘤,最大直径≤5cm;或者肿瘤数目≤3个,最大直径≤3cm;没有脉管癌栓、邻近器官侵犯;肝功能分级Child-pugh A或B,或经内科治疗达到该标准;不能手术切除的直径>5cm的单发肿瘤或最大直径>3cm的多发肿瘤,射频消融可作为姑息性治疗或联合治疗的一部分。

术前超声检查显示肝内实性肿瘤

术后超声造影显示肿瘤完全灭活
介入术前要求:需到介入室评估是否可以进行穿刺,术前检验包括血/尿常规、凝血功能、HIV、梅毒检测,必要时提前进行肠道准备,如患有严重的心脏病或其他系统疾病,需根据具体情况进行检验。
有上述诊疗需求者请到门诊三楼超声医学科20诊室腹部介入室咨询。