一名62岁女性患者首诊为结肠癌伴肝转移,首先给予综合治疗,治疗过程中发生原发灶梗阻、出血症状,遂转为手术治疗。经过手术团队努力,完成了原发灶和转移灶同期根治性切除并经自然腔道取出的微创NOSES手术。术后恢复良好,完成规定疗程的化疗后定期复查。但在术后两年复查时再次发现肝转移瘤,经过规范化MDT诊疗后,接受肝转移瘤根治性切除手术,延续生命。
结直肠癌是全球常见的恶性肿瘤之一。国家癌症中心2022年最新统计数据显示,我国结直肠癌的发病率位于恶性肿瘤的第二位,死亡率位于第四位。肝脏是结直肠癌最常见的转移部位,如果发生了结肠癌肝转移,在综合分期上就属于晚期了。那么,结肠癌肝转移是否就是生命的禁区呢?
这个问题的答案是否定的,尤其是在多学科诊疗(MDT)模式日趋成熟和外科手术技术飞速进步的今天。在实施规范化MDT诊疗的基础上,以外科手术切除为基础的综合治疗方案仍是结肠癌肝转移的最有效治疗选择,也是唯一可能治愈的方案。与多数恶性肿瘤不同,结直肠癌即使发生肝转移,如果能手术完整切除原发灶及转移灶,5年总生存率仍能达到50%以上,10年总生存率可达25%。今年,哈医大二院结直肠肿瘤MDT团队就为一位罹患结肠癌肝转移的患者,进行了科学、精准、规范的多学科诊疗,帮助患者再次渡过难关,重获新生。
故事要从两年前说起,主人公是一位62岁王阿姨,她平素体健,家里也没有人罹患过肿瘤方面的疾病,她首次来到哈医大二院结直肠肿瘤外科是因为间断性便血一周。“本来没有往这个方面考虑,以前体检也没啥问题,就是没做过肠镜,想不到这次因为便血,去做肠镜,就发现了肿瘤”,这是王阿姨首次就诊时的叙述,言语中带着一丝焦虑。
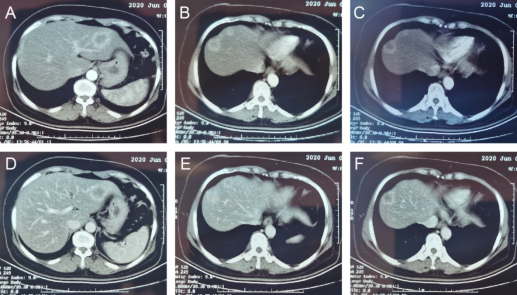
肠镜报告显示:距肛门65 cm处有一肿物,占肠腔2/3周,阻塞肠腔致无法继续进镜。肠镜病理结果示腺癌。入院后,结直肠肿瘤外科为王阿姨进行了详细地检查和评估,检查结果令所有人大吃一惊。体格检查:浅表未触及肿大淋巴结,心肺功能无明显异常,直肠指诊未触及肿物;CT平扫示升结肠管壁不规则增厚,病变累及浆膜面,系膜内多发肿大淋巴结,肝多发占位,可疑转移瘤。进一步行肝胆脾256排增强CT示肝Ⅳ、Ⅵ、Ⅷ段各有一枚转移瘤,最大直径27mm。肿瘤标志物:CEA 6.64 ng/mL,CA19-9 13.26 U/mL。ECOG评分为1分,PS评分为1分,CRS评分为3分。最终临床诊断为结肠腺癌(cT3NxM1a)IVa期,肝多发转移瘤。
这个消息对王阿姨来说无异于晴天霹雳,“癌症”、“晚期”、“转移瘤”,每一个字仿佛都在打击着她脆弱的心灵。但正如前文所说,晚期结肠癌并不是生命的禁区,结直肠肿瘤MDT团队立即开始了第一次MDT讨论。首先由影像科和病理科医生对患者的病情和诊断进行确定和分析,肝脏外科认为患者的三处肝转移灶评估为初始可切除,但CRS评分较高,目前手术创伤较大且复发风险高。结直肠外科认为患者原发灶有间断性出血症状,无明显梗阻表现,全身状态尚可,无贫血,可优先做综合治疗。综合肿瘤内科、放疗科的意见后,结直肠肿瘤MDT团队认为患者为结直肠癌肝转移初始可切除组,考虑到原发灶暂无明显症状且CRS评分较高,建议优先进行新辅助治疗,拟采用Xelox+贝伐珠单抗治疗4周期后再次进行MDT评估,治疗过程中要警惕原发灶梗阻、出血等症状。
然而,治疗的过程并非一帆风顺,王阿姨在完成第2周期Xelox+贝伐珠单抗治疗后出现腹痛、便血及肠梗阻症状,由于病情变化结直肠肿瘤MDT团队再次进行讨论。此次讨论中认为患者原发灶症状明显,应中止内科治疗,考虑外科介入。复查肝胆脾256排增强CT,未见新增转移病灶,三处肝转移灶为初始可切除,可试行同期手术。因此,结直肠肿瘤MDT团队拟定为阿姨实施结肠癌和肝转移瘤同期手术治疗,期望通过一次手术达到根治,术后再根据病理情况继续全身治疗。
图1 复查肝胆脾256排增强CT结果
新一轮的“抗癌”仗打响,一台手术同时切除4个肿瘤,分别是切除右半结肠癌和肝脏的三处转移病灶。传统的开腹手术需要巨大的腹壁切口和延展切口,术后腹壁疼痛,切口感染及带来的长期不良心理暗示将为患者的康复和术后生活质量带来极大困扰。如何以最小的创伤完成结直肠癌肝转移的根治性切除手术成为摆在医生面前的难题。
哈医大二院结直肠肿瘤外科团队的特色技术,经自然腔道取标本手术(Natural orifice specimen extraction surgery,NOSES)或许能将手术的创伤降到最低。NOSES手术是使用腹腔镜、机器人、肛门内镜微创手术或软质内镜等设备平台完成腹盆腔内各种常规手术操作(切除与重建),经人体自然腔道(直肠、阴道或口腔)取标本的腹壁无辅助切口手术。NOSES手术的优势不仅仅是减少了腹部的辅助切口和相关的并发症风险,而是能够更加契合加速康复外科理念,将无痕的理念发挥到极致,达到“微创中的微创”。最终,团队采用NOSES手术成功为王阿姨完整、精准切除右半结肠癌,左半肝和肝Ⅵ、Ⅷ段转移瘤,标本不经腹部切口,经自然腔道(阴道)取出。手术用时5小时,出血量仅50ml,术后腹部仅留下7个戳卡孔。
术后王阿姨恢复的十分顺利,术后24小时可以离床活动,术后36小时顺利排气,次日进少量流质饮食。术后恢复过程中无并发症出现,无明显疼痛感。术后病理为ypT3N1bM1a期,切缘均阴性,达到R0切除。术后1月复查肿瘤标志物均正常,继续在哈医大二院完成Xelox+贝伐珠单抗方案化学治疗。术后半年复查未见复发及转移征象,复查时肿瘤标志物为CEA:2.13 ng/mL,CA19-9:9.44 U/mL。于是继续规律随访并定期复查。

图2 手术标本图片 图3 术后腹壁图片
如果故事到此为止,将会是一个完美的故事。但现实生活并不总是完美的,癌症也如同挥之不去的恶魔一般,会在某个时间再次卷土重来。术后两年,王阿姨入院行术后复查,肿瘤标志物CEA:31.33ng/mL,CA199:16.87U/L,遂进一步行全身PET-CT检查,提示肝尾状叶软组织肿块,SUVmax约11.4,考虑恶性;全身其他脏器或组织未见恶性病变。通过穿刺活检和肝脏MRI,确定肝脏上为腺癌组织,考虑转移瘤,结合患者既往病史,考虑肠道来源。随即,哈医大二院结直肠肿瘤MDT团队进行第三次讨论,认为患者肝转移瘤目前体积较大,且位于肝尾壮叶,手术难度和创伤较大,决定先给予综合治疗,观察病灶变化情况和肿瘤的生物学行为。
在完成FOLFIRI+西妥昔单抗治疗4周期后再次进行影像学评估,发现转移瘤和肿瘤标志物都有明显缩小,肝脏超声造影再次确认了除尾壮叶外,无其他肝脏转移灶。于是,经过再次MDT讨论后,认为现在时比较合适的外科干预时机,遂进行术前准备。
图4 超声肝脏造影结果
王阿姨接受了第二次手术,但由于腹部既往手术史,腹腔内粘连严重,无法完成微创操作,最终通过开腹手术的方式进行了粘连松解和肝尾状叶肿瘤切除,术后病理学检查证实切缘阴性,达到R0切除。在哈医大二院结直肠肿瘤MDT团队科学、精准、规范的治疗下,王阿姨的生命再次得到延续,并在术后1月继续接受全身综合治疗及定期复查,目前情况稳定。
“希望是世界上最美好的东西。”王阿姨一周前来复查时说道,“每一次在我绝望的时候,是医生给了我活下去的希望,心中满是感恩。不知道这一次还会不会有意外出现,但我对未来依旧充满希望,珍惜医生们竭尽全力为我‘争’来的每一天。”
王阿姨的三次“抗癌”战役,在哈医大二院结直肠肿瘤外科MDT团队地科学救治、精诚合作下取得了阶段性胜利。抗癌路漫漫,给予患者更多的帮助和救治,在延长生命的同时提高患者生活质量,最终取得抗癌全面胜利,对于医生来说依然任重而道远。随着MDT诊疗模式的日趋成熟,让抗癌之路不再孤军奋战,多学科团队联合“抗癌”成为癌症患者最坚固的后盾保障,将不可能变为可能,让癌症患者重获新生,是每一个MDT团队的目标与使命。
专家点评
点评专家:王贵玉教授
点评意见:基于多学科团队诊疗进行结直肠癌的综合诊治和全程管理已经成为国内主要医学中心的常态化项目,伴随而来的是患者的诊疗规范化、标准化、同质化以及总体生存率、无病生存期的提升,转移性结直肠癌不再是“生命禁区”。本故事中,将NOSES手术用于转移性结直肠癌的治疗具有安全、微创、无痕的优势,在保证根治效果的同时,有效提高了术后生活质量,这也是本故事最有特色之处。
“结”尽全力,肝胆相照。尽管患者术后两年时出现了病情变化和转移,但通过实施规范化MDT诊疗和根治性手术再次重获新生,这也体现了我们MDT团队在全程管理和综合诊治方面的能力和态度,相信在我们的保驾护航下,可以让这位阿姨的未来人生旅程走得更远。因此,我推荐本故事参与“曙光计划”年度MDT故事评选。
哈医大二院结直肠肿瘤MDT团队简介:
哈尔滨医科大学附属第二医院结直肠肿瘤外科团队最早于2010年率先在我省开展结直肠肿瘤的MDT多学科诊疗模式推广以及学术交流活动。2010年至2015年间建立了黑龙江地区的国家级胃肠肿瘤MDT教育培训基地,举办了多次国家级和省级的消化道肿瘤MDT大型论坛。2015年在王贵玉主任的倡导下正式组建了哈尔滨医科大学附属第二医院结直肠肿瘤MDT团队。团队以结直肠肿瘤外科为核心,涵盖肿瘤内科、肿瘤放疗科、肝胆外科、胸外科、病理科、核磁影像科、CT影像科、超声介入科等多个学科。团队始终致力于推进结直肠肿瘤诊治的个体化、功能化、规范化进程,促进不同学科间更加深入、精准、高效的学术交流,造福于患者。